Un nódulo pulmonar (o masa cuando es mayor a 3 cm) es un área anormal que a veces se descubre durante una tomografía computarizada (CT) del pecho. Estos estudios se realizan por muchas razones, como parte de la detección del cáncer de pulmón, o seguimiento de algún cáncer de otra región (ejemplo mama, osteosarcoma, etc.), o para examinar los pulmones si usted presenta síntomas. Así lo explicó en una entrevista el Dr. Gary Kosai Vargas Mendoza, reconocido Cirujano de Torax en la ciudad de Mérida.
La mayoría de los nódulos pulmonares observados en las CT no son cáncer. Con más frecuencia, son el resultado de infecciones previas, tejido cicatricial, u otras causas. Sin embargo, a menudo se requieren pruebas para confirmar que un nódulo no es canceroso. –destacó el especialista formado en Cirugía de Tórax en el Instituto Nacional de Enfermedades Respiratorias “Ismael Cosío Villegas”.
Si tiene un nódulo pulmonar
En este caso, el Dr. Gary Vargas Mendoza destacó que el siguiente paso con más frecuencia es repetir una tomografía computarizada para saber si el nódulo está creciendo con el pasar del tiempo. El tiempo que transcurra entre los estudios por imágenes podría variar desde varios meses a un año, dependiendo de si su médico sospecha que probablemente el nódulo sea cáncer. Esto se basa en el tamaño, la forma y la ubicación del nódulo, así como si parece ser sólido o lleno de líquido. Si al repetir un estudio se revela que el nódulo ha crecido, su médico también podría requerir otro tipo de estudio por imágenes llamado tomografía por emisión de positrones (PET) que a menudo puede ayudar a determinar si se trata de cáncer.


Biopsia
El Dr. Gary Vargas Mendoza, certificado por el Consejo Mexicano de Cirugía de Tórax, advirtió que en caso de que estudios posteriores muestren que el nódulo ha crecido, o si el nódulo tiene otras características que causan preocupación, su médico querrá obtener una muestra para comprobar si hay células cancerosas, es importante recalcar la importancia de los antecedentes de cada paciente, antecedentes de cáncer previo, edad, tabaquismo, etc. Este procedimiento se llama biopsia. Se puede hacer de distintas maneras:
El médico puede pasar un tubo largo y delgado (llamado broncoscopio) por la garganta y hacia las vías respiratorias de sus pulmones para llegar al nódulo. Para obtener una muestra del nódulo, se usa una pequeña pinza ubicada en el extremo del broncoscopio.
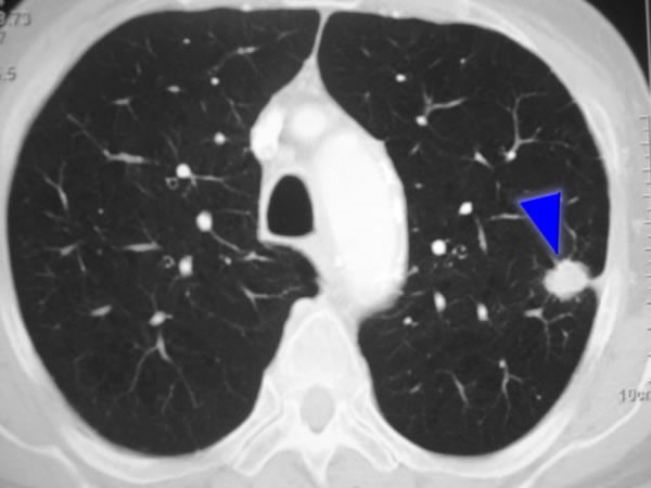
Si el nódulo está en la parte externa del pulmón, el médico puede pasar una aguja gruesa y hueca a través de la piel de la pared torácica (utilizando como guía una tomografía) y hacia el nódulo para obtener una muestra.
En caso de que haya una mayor probabilidad de que el nódulo sea canceroso (o si no se puede llegar hasta el nódulo mediante una aguja o un broncoscopio), se puede realizar una cirugía para extraer el nódulo y parte del tejido pulmonar circundante (torascoscopía o toracotomía según sea el caso). En ocasiones, las partes más grandes del pulmón también se pueden extirpar – destacó el Dr. Gary Vargas Mendoza quien tiene amplia experiencia en cirugía de tórax de mínima invasión (videotoracoscopía) y también realiza el estudio y tratamiento quirúrgico de las enfermedades que comprometen el pulmón, la pleura, la tráquea, el mediastino, el diafragma, la estructura ósea y los tejidos blandos de la pared torácica. Además de algunas enfermedades del esófago en casos clínicos seleccionados.

Después de la biopsia
Después de realizar una biopsia, la muestra de tejido será examinada detenidamente en el laboratorio por un médico llamado patólogo. El patólogo examinará la muestra de la biopsia en busca de cáncer, infección, tejido cicatricial y otros problemas pulmonares. Si se encuentra cáncer, entonces se harán pruebas especiales para averiguar el tipo de cáncer. Si se encuentra algo que no sea cáncer, el siguiente paso dependerá del diagnóstico. A algunos nódulos se les dará seguimiento con una tomografía computarizada que se repite en 6 a 12 meses durante unos años para asegurarse de que no hay cambios. Si la biopsia del nódulo pulmonar muestra una infección, es posible que le envíen a un especialista llamado médico de enfermedades infecciosas para realizar más pruebas. El médico decidirá el siguiente paso, dependiendo de los resultados de la biopsia.
El Dr. Gary Vargas Mendoza es especialista en Cirugía de Torax de minima invasión, ECMO especialista certificado por la ELSO (The Extracorporeal Life Support Organization).
Actualmente es miembro del Colegio de Neumólogos y Cirujanos del Tórax de Yucatán, SECT, Sociedad Española de Cirugía Torácica, ALAT, Asociación Latinoamericana de Tórax, Sociedad Mexicana de Cirujanos Torácicos Generales, European Thoracic Society.
Su consultorio #622 está ubicado en el Hospital «Faro del Mayab», en Calle 24 #280, Temozón Norte, Santa Gertrudis Copo, en Mérida, Yucatán. Cel. 9994 47 51 76.
Facebook: https://www.facebook.com/Dr.GaryVargas
Instagram: https://www.instagram.com/cirujanodetorax.mx/?hl=es-la
Sitio Web: http://cirujanodetorax.com.mx/

